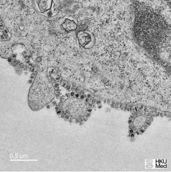
據媒體報道,香港大學研究人員于1月31日公布首批新型冠狀病毒在細胞內復制過程的圖像。
研究人員表示,每個受病毒感染的細胞會衍生出逾千粒病毒粒子。
在科研人員的努力下,這一導致上萬人感染的新型病毒正逐漸被揭開面紗。

香港大學電子顯微鏡圖像顯示了在細胞中生長的新型冠狀病毒。
公布病毒復制過程
——受感染細胞衍生出逾千粒病毒粒子
據香港《東方日報》2月1日報道稱,香港大學病理學系臨床醫學教授黎國思(John Nicholls)與香港大學醫學院公共衛生學院教授潘烈文和裴偉士(MalikPeiris)通過培養受感染細胞,觀察新型冠狀病毒的生長過程。
新型冠狀病毒的薄片電子顯微圖像顯示,病毒粒子從受感染細胞的表面釋放出來。
黎國思表示,每個受感染的細胞會衍生出數以千計的病毒粒子,從而繼續感染新細胞。
研究人員還研究了病毒在不同生長時間的樣本,以便更清楚地了解病毒的復制過程,并與其他冠狀病毒進行了比較。
據彭博社介紹稱,黎國思是分離和鑒定SARS病毒的香港小組成員之一。黎國思表示,愿與世界范圍內還未獲得新型冠狀病毒毒株的研究人員共享有關信息。

新型冠狀病毒武漢株01 照片來源:國家病原微生物資源庫 (中國疾病預防控制中心病毒病預防控制所)
研究還有哪些新進展?
冠狀病毒是一大類病毒,已知會引起疾病,患者表現為從普通感冒到重癥肺部感染等不同臨床癥狀,例如中東呼吸綜合征(MERS)和嚴重急性呼吸綜合征(SARS)。
此次武漢發現的新型冠狀病毒2019-nCov是一種以前尚未在人類中發現的新型冠狀病毒。
目前,我們對它的研究還有哪些新進展?

計算機模型:病毒S蛋白與人ACEⅡ蛋白結合示意圖中科院上海巴斯德所/供圖
——關于入侵機制
病毒感染宿主細胞可分為三個環節:
入侵——病毒在宿主細胞內復制(包括病毒基因組復制和病毒蛋白合成)——合成的病毒基因組和病毒蛋白組裝后形成新生的病毒粒子,離開宿主細胞,再去感染其他宿主細胞。
破解病毒入侵宿主細胞的機制,就可以指導設計藥物、抗體或疫苗進行防控。

顯微鏡下的SARS冠狀病毒(圖片來源:www.cdc.gov) 中科院上海巴斯德所/供圖
在入侵機制方面,據《中國科學報》日前報道,中科院的科學家已經發現新型冠狀病毒入侵時的細胞受體跟SARS-CoV( SARS冠狀病毒,編者注)受體一樣,都是ACE2。
現在,初步還發現新病毒跟受體的結合力比SARS-CoV略強一些,科學家正在研究新型冠狀病毒與不同物種來源的ACE2分子的結合能力,探索病毒傳播時可能利用的中間宿主。

新型冠狀病毒武漢株02 照片來源:國家病原微生物資源庫(中國疾病預防控制中心病毒病預防控制所)
——關于變異
冠狀病毒是現在已知的擁有最大基因組的RNA病毒,相對于人類用DNA作為遺傳物質,其RNA基因組復制時的保真性相對較差,容易產生更多的變異。
中國醫學科學院呼吸病學研究院常務副院長曹彬日前表示,目前從人體、環境中監測分離的病毒上看沒有發現明顯變異。
但是,流行期越長其變異的可能性越大,病毒學專家和流行病學專家會繼續對新型冠狀病毒進行密切監測,而縮短流行期是降低病毒變異風險的關鍵。
中科院專家也表示,正在分析更完整的基因組變異情況,追蹤病毒在傳遞過程中可能的變異。

資料圖:武漢大學中南醫院收治新型肺重患者。中新社記者 周群峰 攝
——關于藥物
中科院微生物所研究員、中科院病原微生物與免疫學重點實驗室副主任施一接受《中國科學報》采訪時介紹,通過比較2019-nCoV和SARS-CoV的病毒聚合酶蛋白基因,科學家發現它們的相似度很高,在90%以上。
施一還表示,現在針對聚合酶通過計算機虛擬篩選方法,篩選了約50個有潛在活性的化合物,正在準備測試和驗證活性。
在50個化合物里頭,有一個叫作利托那韋的化合物是一種抗艾滋病的藥物,最近武漢病毒所的科研人員已經證實它在細胞層面具有抗病毒的效果,其后續的臨床使用,正在走相關程序報批。
科學家也希望能夠發現醫院已經在用的更多老藥,可以更快地用于臨床救治。
此外,1月31日,醫學期刊《新英格蘭醫學雜志》一論文披露美國首例新冠肺炎患者用藥,住院第7日使用倫地西韋藥物后次日癥狀改善。
不過,藥企稱此藥未上市,正和中國衛生部門合作。

2月1日,科研人員在演示新型冠狀病毒mRNA疫苗研發實驗過程。湯彥俊 攝
——關于疫苗
近日,有媒體援引中國國家衛生健康委員會高級別專家組成員、中國工程院院士李蘭娟的話得出結論:“疫苗成功研制至少還要三個月。”
李蘭娟隨后解釋說“三個月”僅是初期研發的時間,比如培養疫苗株、檢測和驗證等,新型肺炎疫苗真正走向市場還有很長的路。
在疫苗研究方面,中國科學院武漢病毒研究所正在開展新型冠狀病毒感染的抗病毒藥物篩選、動物模型建立、疫苗研發等工作。

科研人員在演示新型冠狀病毒mRNA疫苗研發實驗過程。湯彥俊 攝
中國疾病預防控制中心也在研發疫苗,此前正是該中心全球首發第一株新型冠狀病毒毒株信息,為研制疫苗奠定了基礎。
國內外企業、機構也紛紛加入。例如,同濟大學附屬東方醫院轉化醫學平臺與斯微(上海)生物科技有限公司合作推動新型冠狀病毒mRNA疫苗研發,該項目已緊急完成立項備案。
強生公司宣布,將使用與公司實驗室研究埃博拉病毒疫苗的相同技術,來研發新型冠狀病毒的候選疫苗。
美國國立衛生研究院方面也表示,美國國立衛生研究院疫苗臨床試驗的第一階段可能在三個月內開始。